FACETAS HÍBRIDAS
A Excelência da Faceta de Porcelana com o Custo-benefício da Faceta de Resina.
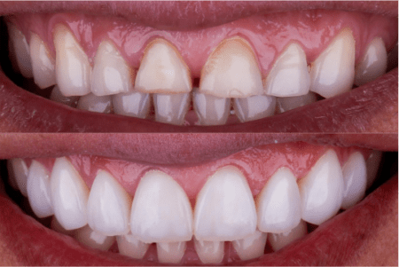
Conheça as Facetas Híbridas, a revolução das Lentes de Contato Dental em Curitiba.
A única faceta que une resina com porcelana, estética com tecnologia
As lentes ou facetas híbridas são uma geração avançada das convencionais lentes de resina composta. Sua principal diferença está na composição do material, que combina resina de alta performance com nanopartículas de porcelana — daí o termo “híbrida”.
O resultado dessa fusão inovadora é o equilíbrio perfeito entre a leveza, a versatilidade e o custo-benefício das facetas de resina junto com a resistência, precisão e estética natural refinada das lentes de porcelana. Uma escolha inteligente para quem é exigente.
As lentes ou facetas híbridas são uma geração avançada das convencionais lentes de resina composta.
Sua principal diferença está na composição do material, que combina resina de alta performance com nanopartículas de porcelana — daí o termo “híbrida”.
O resultado dessa fusão inovadora é o equilíbrio perfeito entre a leveza, a versatilidade e o custo-benefício das facetas de resina junto com a resistência, precisão e estética natural refinada das lentes de porcelana. Uma escolha inteligente para quem é exigente.



Diferenciais que só as Lentes Híbridas Blanvur têm:
Previsibilidade
Você vê o resultado antes. Pode provar e ajustar o que quiser. Só após sua aprovação as facetas são instaladas. Menos surpresa, mais certeza.
Tecnologia
As lentes híbridas são planejadas com escaneamento 3D e design digital para um controle absoluto e precisão milimétrica do resultado.
Praticidade
Cada faceta híbrida é produzida fora da boca e só depois instalada sobre os dentes, num processo mais rápido, confortável e seguro.
Feitas para durar
A composição com nanopartículas de porcelana reforça a resistência das lentes, garantindo longa durabilidade.
Esse tratamento é para mim?
As facetas de resina híbrida se encaixam sobre os dentes naturais, permitindo corrigir imperfeições no formato, tamanho, cor e espaçamentos.
O resultado é um sorriso renovado que eleva a autoestima, trazendo mais confiança e bem-estar.
Se algum dos problemas abaixo afeta a estética do seu sorriso, te deixando inseguro com a própria imagem, então as lentes híbridas podem ser a solução ideal para o seu caso.
Dentes desgastados
Dentes com formato irregular (muito curtos, largos, finos etc.)
Desalinhamentos leves que não requerem aparelho
Manchas ou amarelamentos que não saem com clareamento
Fechamento de espaços entre os dentes (diastemas)
Correções de pequenas fraturas ou lascas
Troca de facetas antigas, artificiais ou mal executadas
Rejuvenescimento do sorriso
Sorrisos com assinatura exclusiva Blanvur
A próxima transformação pode ser a sua.















DNA da inovação para transformar sorrisos com perfeição
A Blanvur é uma clínica referência em odontologia estética e uma das pioneiras em todo Brasil no protocolo de facetas híbridas, oferecendo com exclusividade essa tecnologia em Curitiba e região.
Com a maior estrutura especializada da cidade, em amplo espaço de 500m² no coração do bairro Bigorrilho, garantimos toda a comodidade e conforto para quem é exigente e busca mais do que um tratamento odontológico de excelência.
Nos últimos anos, já transformamos mais de 2.000 sorrisos — de pacientes vindos de diversas cidades do Brasil e em mais de 20 países, elevando nosso alcance global, porque um sorriso perfeito não tem fronteiras.
Tecnologia de ponta
Fluxo 100% digital com laboratório próprio, scanner 3D, raio-X e laser LiteTouch. Mais agilidade, precisão e previsibilidade no seu tratamento.
Estrutura completa
Localização nobre em Curitiba, com estacionamento próprio gratuito, entretenimento multimídia com seus filmes e séries favoritos, manta térmica para os dias frios, massageador e um menu completo de bebidas à vontade.
Expertise global
Atendimento bilíngue e equipe capacitada nos mais avançados protocolos internacionais. Assim garantimos uma experiência personalizada para pacientes de qualquer lugar do mundo.
Transformação completa. No sorriso e na vida.
Somos a clínica especializada N°1 em máxima satisfação dos pacientes. Confira alguns depoimentos.
EXCELENTE Com base em 249 avaliações Publicado em Amanda Suemy17 Março 2026Trustindex verifica se a fonte original da avaliação é Google. Excelente experiência! Atendimento cordial, personalizado e atencioso por todas as profissionais. Recomendo!Publicado em Marcos Luis Ruggini12 Março 2026Trustindex verifica se a fonte original da avaliação é Google. Gostaria de deixar meus mais sinceros agradecimentos e elogios a toda a equipe da Blanvur, fiz a instalação das resinas híbridas e o resultado superou as minhas expectativas. O que mais me impressionou foi a naturalidade, que era o que eu buscava, meu sorriso mudou, mas sem perder a harmonia. Um agradecimento em especial a Drª Brenda, que é uma profissional excepcional, me deixou super tranquilo durante o tratamento, sempre conversando e alinhando as expectativas, chegando ao resultado que eu tanto sonhava. E um agradecimento as meninas da recepção, que são super simpáticas e sempre dispostas a ajudar. Recomendo a clínica de olhos fechados 👏🏻👏🏻👏🏻Publicado em Jeferson Amaral25 Fevereiro 2026Trustindex verifica se a fonte original da avaliação é Google. Excelente atendimento! Trabalho muito bem feito! Recomendo!Publicado em Genilda Maciel24 Fevereiro 2026Trustindex verifica se a fonte original da avaliação é Google. Excelente trabalho! Atendimento perfeito, super recomendo!Publicado em Rayssa hoffmann12 Fevereiro 2026Trustindex verifica se a fonte original da avaliação é Google. Desde o meu primeiro momento na clínica eu fui surpreendida pelo atendimento das recepcionistas, sem falar as doutoras meus Deus fiquei encantada, a dr Aline que me atendeu e ganhou meu coração ❤️ a clínica é ótima, meus dentes ficaram perfeitos ameiPublicado em Luciano Paiva4 Fevereiro 2026Trustindex verifica se a fonte original da avaliação é Google. O que seria apenas um tratamento de canal se transformou em uma mudança completa no meu sorriso. Optei pelas facetas híbridas, com material de excelente qualidade e um atendimento impecável. Mesmo tendo medo de dentista, me senti seguro durante todo o processo. O resultado superou minhas expectativas e elevou muito minha autoestima.Publicado em J. Pires22 Janeiro 2026Trustindex verifica se a fonte original da avaliação é Google. Trabalho maravilhoso, profissionalismo, superação das expectativas e preço justo. Super recomendo.Publicado em Ana Flávia Gueller20 Janeiro 2026Trustindex verifica se a fonte original da avaliação é Google. Gostaria de compartilhar minha experiência com a clínica. Sofri um acidente em outubro que me resultou em um dente necrosado que acabou escurecendo e dois dentes fraturados, por isso decidi procurar um local para realizar a colação de facetas. Procurei muito e encontrei a Blanvur. Estava muito insegura em colocar facetas, porém no meu primeiro atendimento com a dra Aline ela me passou muita tranquilidade e segurança, me orientou a realizar a colocação das facetas de resina, clareamento e gengivoplastia. Realizei o clareamento e a gengivoplastia com a dra Aline e as facetas com a dra Brenda e estou muito satisfeita com o resultado, meu sorriso ficou lindo, super natural e muito bem feito. Amei o resultado! Sem contar que o atendimento foi impecável, equipe muito simpatica e querida, local muito agradável e aconchegante. Super indico!Publicado em Diego bravo19 Janeiro 2026Trustindex verifica se a fonte original da avaliação é Google. Gostei do serviço como um todo tanto o atendimento inicial com as funcionárias da administração quanto o resultado final dos procedimentos. Obrigado.Publicado em Suzana Brito16 Janeiro 2026Trustindex verifica se a fonte original da avaliação é Google. Desde o primeiro contato com os profissionais da Blanvur, fui atendida com muita atenção e profissionalismo. A clínica é um espaço.muito higiênico e tecnológico sem contar com o acolhimento incrível dos profissionais. Ao longo do meu projeto sempre tive clareza de todos os procedimentos, o que me deixou muito segura para seguir com meu sonho de saúde e satisfação. Hoje estou muito satisfeita com a maturidade do meu sorriso e a certeza da minha saúde bucal.
Facetas Híbridas. Nobre como porcelana, acessível como resina.
Só a lente híbrida entrega o equilíbrio perfeito entre resistência, estética natural e custo-benefício. Ela combina o melhor da porcelana com o melhor da resina em uma solução única e completamente inovadora.
Ainda com dúvidas? Confira as perguntas mais frequentes sobre as facetas híbridas
Qual valor das facetas híbridas?
Por ser um tratamento personalizado, o investimento pode variar de caso a caso, a depender da complexidade e necessidades específicas identificadas na consulta de avaliação.
A nível de comparação, atualmente uma lente em porcelana de alta qualidade custa, em média, de R$ 2.000 a R$ 2.800 por dente, enquanto a lente híbrida pode ter um investimento até 4x menor, tornando-se uma opção de excelente custo-benefício pelo nível de qualidade que entrega.
Preciso colocar facetas em todos os dentes?
Não. Cada caso é único, por isso as necessidades estéticas de um sorriso podem variar de um paciente para outro. Há casos com resultados incríveis com apenas 10 ou 8 facetas, geralmente nos dentes superiores que aparecem ao sorrir
Qual a diferença entre a faceta híbrida e a faceta de resina comum?
A principal diferença está no tipo de material e no processo de confecção de cada lente. A faceta híbrida possui cerca de 60% de nanopartículas de porcelana na sua composição, enquanto a resina convencional não possui nenhuma carga cerâmica.
Elas também são esculpidas de forma manual diretamente sobre os dentes, já as facetas híbridas são planejadas digitalmente e finalizadas em nosso próprio laboratório digital, com auxílio de tecnologias avançadas como escaneamento intraoral, design CAD e impressão 3D.
Isso possibilita que você veja e prove suas lentes primeiro, antes da instalação. Somente as facetas híbridas e de porcelana permitem essa total previsibilidade.
E se eu não gostar do resultado quando provar?
Nesse caso, fazemos todos os ajustes estéticos que você desejar — formato, cor, tamanho. Só instalamos as lentes de forma definitiva quando você estiver 100% seguro e satisfeito.
Precisa desgastar o dente?
Na grande maioria dos casos não há nenhum desgaste dentário. Quando necessário, é feito um preparo dental mínimo e conservador de até 1 milímetro , apenas para melhor encaixe/adaptação da lente sobre o dente.
Elas são resistentes ou podem quebrar com facilidade?
As facetas híbridas são mais reforçadas porque possuem alta carga cerâmica na composição. Com os devidos cuidados, são altamente resistentes e duráveis, especialmente quando comparadas às facetas de resina convencionais.
Endereço
Fernando Simas, 808 – Champagnat
Curitiba/PR
Telefone
Fixo: (41) 3023-3831
Whats: (41) 99624-2288
E-mail:
contato@blanvur.com
Responsável Técnico
Dra. Brenda Lopes
CRO/PR 27611